This Week at NEJM.org
December 11, 2025 Vol. 393 No. 23
December 11, 2025
Vol. 393 No. 23
This Week in the JOURNAL
ORIGINAL ARTICLES
-
高齢者に対する高用量インフルエンザワクチン
High-Dose Influenza Vaccine in Older Adults65 歳以上の高齢者において,高用量のインフルエンザワクチンにより,標準用量ワクチンと比較して,インフルエンザまたは肺炎による入院の発生率は有意に低くならなかった.
-
高齢者に対する高用量インフルエンザワクチン
High-Dose Influenza Vaccine in Older Persons65~79 歳の成人において,高用量のインフルエンザワクチンを接種した場合,標準用量ワクチンを接種した場合と比較して,インフルエンザまたは肺炎による入院が少なくなり,重篤な有害事象の発現率は同程度と思われた.
-
冠動脈手術後のチカグレロルとアスピリンの併用投与
Ticagrelor plus Aspirin after Coronary Surgery急性冠症候群に対する冠動脈バイパス術後に,アスピリンにチカグレロルを追加した場合,アスピリンを単独投与した場合と比較して,1 年の時点で心血管イベントは減少しなかったが,大出血は増加した.
-
尿路上皮癌に対するジシタマブ ベドチン+トリパリマブ
Disitamab Vedotin–Toripalimab in Urothelial CancerHER2 発現尿路上皮癌患者のうち,ジシタマブ ベドチンとトリパリマブを併用投与した患者では,化学療法を行った患者と比較して,無増悪生存期間の中央値が 2 倍になり,全生存期間の中央値が増加し,有害事象が減少した.
CLINICAL PRACTICE
-
複合性局所疼痛症候群
Complex Regional Pain Syndrome
この総説では,まれな四肢痛疾患である複合性局所疼痛症候群の診断と治療について要約している.早期リハビリテーションと集学的ケアが鍵であり,大部分の患者は 18 ヵ月以内に改善する.
CASE RECORDS OF THE MASSACHUSETTS GENERAL HOSPITAL
-
発熱と皮疹が出現した男児
A Boy with Fever and Rash
5 歳の男児が発熱と皮疹で入院した.圧迫しても消褪しない丘疹が,両足から,両下肢,殿部,腰部,両腕,両耳へと広がっていた.診断のための検査が行われた.
Videos, Images, and Multimedia
IMAGES IN CLINICAL MEDICINE
-
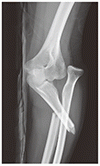
モンテジア骨折
Monteggia Fracture
26 歳の女性が,スケート中に手をついて転倒したあと,左肘の痛みで受診した.X 線写真で,尺骨骨幹部近位 1/3 の骨折と,橈骨頭の後方脱臼が認められた.
NEJM QUICK TAKE
-
高齢者に対する高用量インフルエンザワクチン
High-Dose Influenza Vaccine in Older Adults
高用量のインフルエンザワクチンが,標準用量ワクチンよりも高齢者におけるインフルエンザの重症転帰の予防に有効であるかは明らかでない.新しい研究知見が短い動画にまとめられている.
-
高用量インフルエンザワクチンと入院
High-Dose Influenza Vaccine and Hospitalizations65 歳以上の成人では,高用量の不活化インフルエンザワクチンの,インフルエンザによる入院予防における有効性は明らかにされていない.新しい研究知見が短い動画にまとめられている.
-
急性冠症候群に対する CABG 後の抗血小板薬 2 剤併用療法
Dual Antiplatelet Therapy after CABG for Acute Coronary Syndrome
ガイドラインでは,急性冠症候群に対する冠動脈バイパス術(CABG)後に抗血小板薬 2 剤併用療法を推奨しているが,アスピリン単独療法よりも有害事象が減少するかは明らかでない.新しい研究知見が短い動画にまとめられている.
-
尿路上皮癌に対するジシタマブ ベドチン+トリパリマブ
Disitamab Vedotin–Toripalimab in Urothelial CancerHER2 が発現している,局所進行または転移性尿路上皮癌患者に対する,標準化学療法の利益は限られている.ジシタマブ ベドチン+トリパリマブに関する新しい研究知見が,短い動画にまとめられている.
PERSPECTIVE AUDIO INTERVIEW
-
有害事象を同定する
Identifying Adverse Events
Reshma Ramachandran が,米国食品医薬品局(FDA)の有害事象データの公表に関する変更点と,FDA の安全性サーベイランスの基盤を強化するための今後の方向性について論じている.



