- 目 次
-
This Week at NEJM.org
NEJM.orgからピックアップされている注目記事の一覧です.
September 25, 2025
Vol. 393 No. 12
This Week in the JOURNAL
ORIGINAL ARTICLES
-
左室駆出率が低下した心不全に対するジギトキシン
Digitoxin in Heart Failure with Reduced EF左室駆出率が低下した心不全を有し,ガイドラインに基づく内科的治療を受けている患者において,ジギトキシンは,プラセボと比較して,死亡または心不全による入院のリスクを低下させた.
-
VTE の長期治療に用いるアピキサバン
Apixaban for Extended Treatment of VTE一過性の誘因により静脈血栓塞栓症(VTE)を発症し,永続的危険因子を有する患者に,低用量アピキサバンを 12 ヵ月という長期間投与した場合,プラセボと比較して VTE の再発リスクは低くなり,大出血のリスクは低かった.
-
CLL に対する測定可能残存病変に基づく治療
Measurable Residual Disease–Guided Therapy for CLL慢性リンパ性白血病(CLL)患者のうち,イブルチニブ–ベネトクラクスを投与した患者は,イブルチニブを単独で投与した患者,化学免疫療法を行った患者よりも,測定可能残存病変(MRD)陰性化と無増悪生存の割合が高く,5 年の時点で利益は持続していた.
-
脳梗塞の血栓溶解療法後早期のチロフィバン
Early Tirofiban after Stroke Thrombolysis静脈内血栓溶解療法が行われた急性期脳梗塞患者では,早期のチロフィバンにより,90 日の時点での機能的転帰が改善した.頭蓋内出血の頻度は低かったが,チロフィバンのほうが頻度が高かった.
REVIEW ARTICLE
-
診断の公平性を改善するための医学教育
Medical Education to Improve Diagnostic Equity診断の不公正性,公平性に対する考慮,公平な診断コミュニケーションを教える,診断に関する医学教育は,診断の公平性の向上につながる可能性がある.
CASE RECORDS OF THE MASSACHUSETTS GENERAL HOSPITAL
-
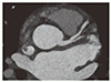
塞栓性脳卒中を発症し左室心尖部瘤が認められた男性
A Man with Embolic Stroke and Left Ventricular Apical Aneurysm
53 歳の男性が,心尖部瘤を伴う重度の左室機能不全の評価を受けた.5 ヵ月半前に左中大脳動脈の脳梗塞を発症していた.診断がなされた.
Videos, Images, and Multimedia
IMAGES IN CLINICAL MEDICINE
-
ドキシサイクリン誘発性光毒性
Doxycycline-Induced Phototoxicity
15 歳の女児が,2 週間前に両手に出現した痛みを伴う水疱性発疹で受診した.症状発現の 1 週間前に,痤瘡治療のために経口ドキシサイクリン療法を開始していた.
INTERACTIVE MEDICAL CASE
-
炭酸飲料を飲む習慣
A Fizzy Fix
この双方向性の特集記事では,1 ヵ月前から悪化する難治性の悪心・嘔吐で救急受診した 63 歳の女性を取り上げている.NEJM.org でご自身の診断・治療技術を試してください.
NEJM QUICK TAKE
-
左室駆出率が低下した心不全に対するジギトキシン
Digitoxin for Heart Failure with Reduced Ejection Fraction
左室駆出率が低下した心不全患者において,現行の治療に強心配糖体を追加した場合の有効性は明らかにされていない.ジギトキシンの安全性と有効性に関する新しい研究知見が,短い動画にまとめられている.
-
アピキサバンの長期使用と誘因のある VTE
Extended-Duration Apixaban and Provoked VTE一過性の誘因により静脈血栓塞栓症(VTE)を発症し,永続的危険因子を有する患者における,抗凝固療法の適切な期間は明らかにされていない.新しい研究知見が短い動画にまとめられている.
-
CLL に対する MRD をガイドとする治療法
MRD-Guided Therapy in CLL慢性リンパ性白血病(CLL)に対する長期治療は,耐性および毒性作用をもたらす可能性がある.イブルチニブとベネトクラクスを併用した,測定可能残存病変(MRD)に基づく治療に関する新しい研究知見が,短い動画にまとめられている.
-
脳梗塞に対する血栓溶解療法後のチロフィバン早期投与
Early Tirofiban after Stroke Thrombolysisガイドラインでは,急性期脳梗塞には,発症後 4.5 時間以内に静脈内血栓溶解療法を行うことが推奨されているが,血管が再閉塞する可能性がある.チロフィバンによる補助療法で転帰が改善する可能性がある.新しい研究知見が短い動画にまとめられている.
PERSPECTIVE AUDIO INTERVIEW
-
健康公平性研究の継続的な重要性
The Continued Importance of Health Equity Research
Nancy Krieger が,構造的人種差別が健康と医療に及ぼす影響,および健康公平性研究と多様性・公平性・包括性(DEI)研究との融合について論じている.



